• Начало
  • Дейности
    • Първичен преглед
    • Профилактика
    • Кариесология
    • Кореново лечение
    • Пародонтално лечение
    • Детско зъболечение
    • Зъбопротезиране
    • Зъбопротезиране с Циркон
    • Естетика
    • Орална хирургия
    • Ортодонтия
    • Бруксизъм
    • Рентгенографии
    • Зъботехническа лаборатория
  • Лазерно зъболечение
  • Клинични случаи
  • Цени
  • Контакти
Nuevodenalclinic
613-pngegg-1-1770121359958.png
015421602571370-collage20221216084104-17700981019506.jpg

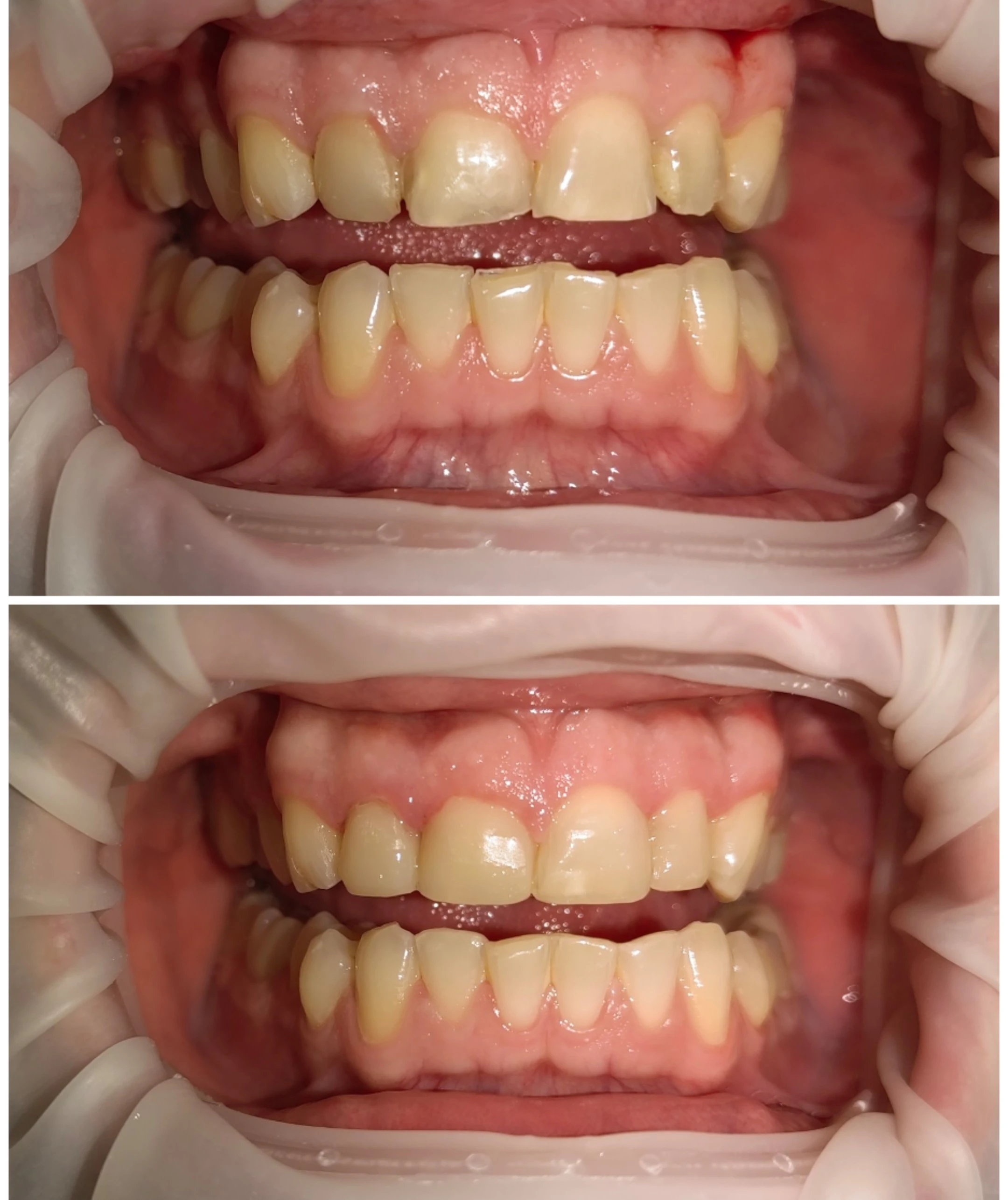
Бондинг

 

Бодинга представлява нанасяне на естетичен материал върху зъба. Прави се с цел подобряване на естетиката. Това е неинвазивен метод в сравнение с Фасетите или обвивните корони, при които зъба/те не се изпиляват. Има индикации при диастеми (разстояние между двата централни зъба във фронта), зъби с много кариозни дефекти, много стари пломби по тях или след ортодонтско лечение с брекети. Също и с цел изравняване на цвета или формата на зъбите, изравняване на линията на усмивката.

374-viberизображение2024-10-0311-53-00-327-17700980479469.jpg

Кабинетно избелване на зъби

 

Процедурата се извършва в рамките на 1 – 2 посещения, като всяко трае около 1 астрономически час, като се нанася предпазна гингивална маска на меките тъкани и след това избелващ гел.

 

 

Домашно избелване на зъби

За да постигнете видими резултати в рамките на желания период, можеш да разчиташ на моите наставления и непрекъснато наблюдение. С удоволствие ще те консултирам и ще създам най-оптималната тренировъчна програма за теб и твоите нужди. 

Избелване на зъби с Лазер или LED лампа

 

  • Избелване на зъби с лазер. Процедурата се извършва в рамките на 1 посещения, като трае около 1 астрономически час, като се нанася предпазна гингивална маска на меките тъкани и след това избелващ гел, кото се активира от лазера (хиперлинк към главен бутон лзерно зъболечение). Предимството е, че посредством активацията на гела с лазер той навлиза в по голяма дълбочина и има по-бърз ефект от процедурата.
  • Избелване на зъби с избелваща лампа. Процедурата се извършва в рамките на 1 посещения, като трае около 1 астрономически час, като се нанася предпазна гингивална маска на меките тъкани и след това избелващ гел, кото се активира от избелващата лампа. Предимството е, че посредством активацията на гела с избелващата лампа, той навлиза в по-голяма дълбочина и има по-бърз ефект от процедурата.

Индикации и контра индикации при избелване на зъби 

При всички естетични процедури за избелване на зъби първо трябва да бъде направен преглед и да бъде установено дали може да се подложите на тях, дали няма контраиндикации във Вашият случай, както и какъв би бил ефекта от процедурите. Почистването на зъният камък и зъбната плака е задължително преди това.

Nuevodenalclinic

Телефон

+ 359 890 51 52 56

Адрес

град София жк. Надежда 2 

ул. Митрополит Авксентий Велшки 49 вх. Г (партер)

Email

info@nuevodentalclinic.com